cfast teeth straightening

cfast teeth straightening

Price: $73.99
In stock
Rated 5.0/5 based on 4 customer reviews
Size:
Quantity:
product description:

Why is Cfast cosmetic teeth
cfast teeth straighteningBest Cheap Online Shopping Site - Join Our shop to browse millions of cost-efficient products with high quality that make your shopping fun and rewarding.
Product reviews:
  iphone 7 Plus
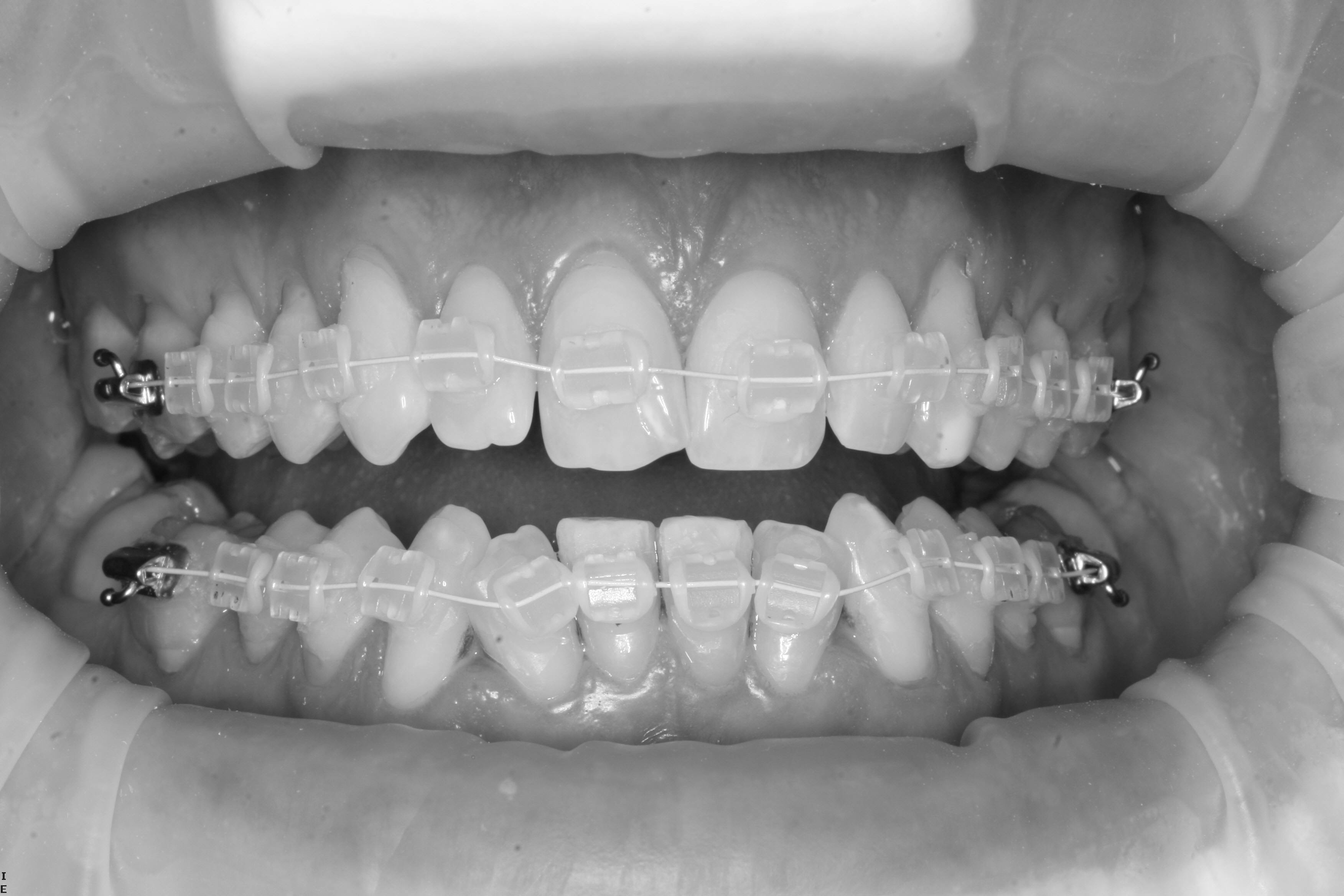
Cfast | Cosmetic Tooth Alignment | The cfast teeth straightening
cfast teeth straightening
  iphone 11
CFast teeth straightening results cfast teeth straightening
cfast teeth straightening
  iphone XS Max
mydentist.co.uk | Cfast braces cfast teeth straightening
cfast teeth straightening
  iphone 11 Pro
My CFAST Teeth Straightening Experience cfast teeth straightening
cfast teeth straightening
Customer Reviews:
Full Name:
Title:
Description:
Rating Value:
Time: 2025-11-26 00:20:30
You may also like: